植牙知識專欄
關於爵世
爵世理念
爵世牙醫(台北總院)
爵世美學牙醫(植牙美學中心)
醫療團隊
專業設備
文章新知
診療項目
全瓷美學
陶瓷貼片
數位嵌體
冷光美白
數位植牙
微創智齒手術
水雷射牙周病治療
隱適美(隱形矯正)
家庭牙醫
顯微根管治療
活髓保存術
案例分享
數位植牙
微創智齒手術
冷光美白
根管治療
全瓷美學
隱形矯正
美學樹脂修補
傳統/自鎖式矯正
微笑見證
媒體專區
影片專區
海外專區
植牙知識專欄
關於爵世
+
–
爵世理念
爵世牙醫(台北總院)
爵世美學牙醫(植牙美學中心)
醫療團隊
專業設備
文章新知
診療項目
+
–
全瓷美學
陶瓷貼片
數位嵌體
冷光美白
數位植牙
微創智齒手術
水雷射牙周病治療
隱適美(隱形矯正)
家庭牙醫
顯微根管治療
活髓保存術
案例分享
+
–
數位植牙
微創智齒手術
冷光美白
根管治療
全瓷美學
隱形矯正
美學樹脂修補
傳統/自鎖式矯正
微笑見證
媒體專區
影片專區
海外專區
關閉
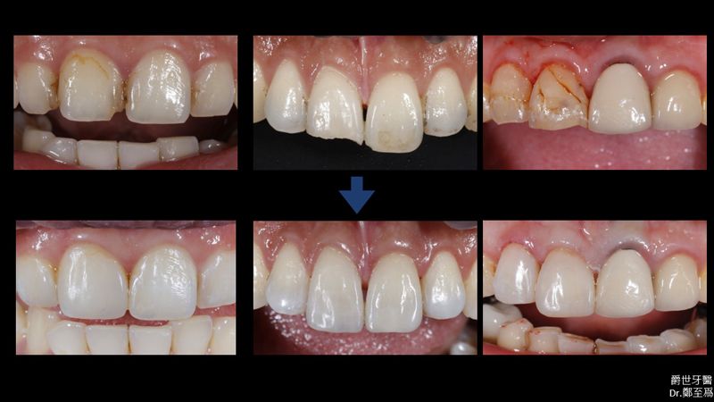
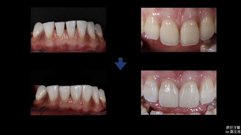
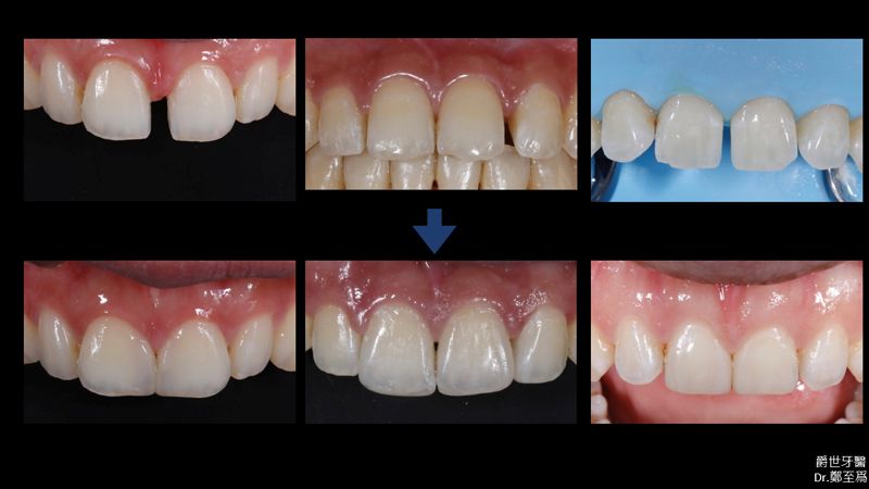
美學樹脂
首頁
/
案例分享
/
美學樹脂修補
/
美學樹脂
成效因人而異,必須跟從專業醫師指引
案例照片與內容均取得當事人授權同意使用,請勿私自轉載與分享
分享到
關閉
×