台北中山微創植牙診所推薦爵世牙醫|精準數位植牙,安心重建笑容

爵世牙醫在競爭激烈的台北中山植牙診所中,以高階數位科技奠定領先地位。我們將3D電腦斷層與 3shape Trios 系統深度整合,實現植牙數位導航,讓植牙過程比傳統更精準、安全。專業台北中山微創植牙團隊為您量身規劃微創植牙療程,大幅減少手術不適,縮短恢復期,是您重建安心笑容的絕佳選擇。

台北中山植牙診所團隊專業背景
爵世牙醫由院長陳醫師領軍,擁有多年微創植牙與全口重建經驗,並多次赴美國UCLA、紐約大學、鳳凰城,以及韓國、日本進修,將國際最新的植牙趨勢與數位設備導入診所。診所牙醫團隊均接受專業牙科訓練與擁有豐富臨床經驗,從初診檢測、植牙手術規劃到術後追蹤,皆秉持高標準醫療品質,讓每位患者獲得穩定、安全的治療體驗。
為什麼選擇爵世數位微創植牙?
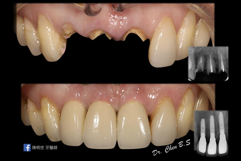
傳統植牙多依賴醫師經驗,手術風險與誤差相對較高。為了讓患者享有更精準與安全的植牙體驗,爵世牙醫院長陳醫師引進世界級先進 3shape Trios 數位植牙系統,透過術前完整模擬定位,提供詳實植牙資訊與輔助工具,大幅降低手術風險。
不同於傳統作法,數位微創植牙結合口內掃描與電腦斷層影像,如同飛行員搭配衛星導航般精準,能更精確避開神經、血管與上顎竇,並將誤差控制在約2mm。 此技術特別適用於全口重建與多顆植牙,不僅減少患者手術不適,也能加快恢復速度,讓治療結果更穩定、更安心。
爵世牙醫:台北中山植牙的四大關鍵致勝優勢
- 專業醫師全程把關
由資深植牙醫師親自評估與手術,結合多年臨床經驗與精湛醫療技術,提升植牙成功率與穩定性。 - 嚴選國際認證植體與高品質牙冠
使用通過全球認證的大廠植體,具備優異耐用度與生物相容性,搭配高硬度二氧化鋯牙冠,兼顧美觀與實用性。 - 高精準數位定位
3D電腦斷層結合口內數位掃描,更精準避開神經、血管與上顎竇,毫米級誤差控制,減少手術風險與術後不適。 - 客製化治療與完善術後照護
爵世牙醫台北植牙診所醫師根據骨質與口腔條件量身規劃治療,並提供保固與定期追蹤,確保植牙長期穩定安心。





