擁有整齊潔白的牙齒,不僅提升外表自信,更是現代人重視口腔美學的重要指標。其中,「牙縫過大」或「門牙有縫(俗稱兔牙)」是常見的美觀問題之一,不僅影響微笑的和諧感,也可能造成發音不清或食物卡塞。而「牙科美學關縫」就是針對這類問題所設計的治療方案,讓您在不需矯正的情況下,也能輕鬆改善牙縫,重拾自信笑容。
什麼是牙科美學關縫?
牙科美學關縫是一種以修復與美觀為主的治療方式,針對牙齒間有明顯縫隙的狀況,透過陶瓷貼片或複合樹脂填補等技術,來縮小或關閉牙縫,使牙齒排列更為協調自然。
常見適應症
牙科美學關縫主要適用於以下狀況:
- 門牙之間有縫(中縫過寬)
- 輕度牙齒間隙問題,不需矯正治療
- 因年齡、牙齦退縮造成的牙縫擴大
- 想快速改善笑容美觀的人士(如拍照前、婚禮前)
治療方式與選項
1. 複合樹脂填補(Direct Bonding)
利用與牙齒色澤相近的樹脂材料直接填補牙縫,無需磨牙、當天完成,經濟又快速。適合輕微到中度的牙縫改善。
2. 陶瓷貼片(Porcelain Veneers)
針對牙縫較大或對外觀要求較高者,瓷貼片提供更自然、耐用且美觀的效果,能有效改善牙齒形狀與顏色。不過此方式通常需輕微修磨牙齒。

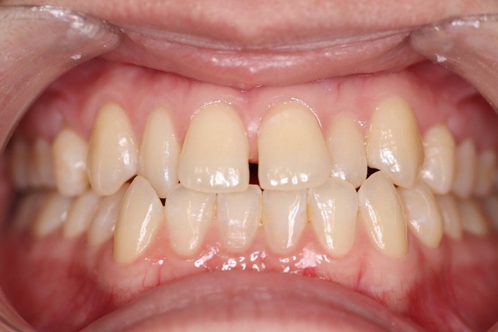
圖一:治療前
可以看到上排門牙之間有明顯縫隙(又稱「牙縫」或「正中間隙」),牙齒形態比例略顯修長,色澤偏黃。雖然牙齒整體健康,但從美學角度來看,這樣的縫隙會使微笑略顯不協調,也容易讓光線穿透造成「暗影效果」,影響整體觀感。

圖二:治療後
經過美學樹酯關縫處理後,中間牙縫隙明顯閉合,兩側牙齒比例重新調整,笑容更為自然和諧。從照片可見:
- 牙齒排列更緊密但不擁擠,仍保留自然弧度。
- 牙色經過亮白處理,整體色澤更均勻。
- 咬合線與微笑曲線更加一致,展現健康與自信的笑容。
優點與限制
優點:
- 不需拔牙或進行長期矯正
- 快速、當天即可完成(依情況而定)
- 材料自然擬真,美觀度高
- 可依個人臉型與牙型設計,提升整體笑容比例
可能限制:
- 材料可能會隨時間染色或磨損(尤其是樹脂)
- 不適用於過度錯位或功能性咬合異常
- 若牙縫過大,可能仍需矯正或其他處理
治療流程簡介
- 初診評估與拍攝牙齒影像
- 與醫師討論預期目標與治療方式
- 進行美學關縫操作(可能需印模)
- 完成修復後微調與拋光
- 定期回診與維護建議
術後保養建議
- 避免啃咬過硬食物(如冰塊、堅果)
- 維持良好刷牙與牙線習慣,減少染色與蛀牙風險
- 定期回診,檢查填補物是否有脫落或變色現象
結語
牙科美學關縫不只是關上牙縫,更是開啟自信微笑的一道門。透過專業牙醫的評估與設計,您可以在短時間內大幅提升笑容美感。若您正為牙縫問題而感到困擾,不妨諮詢牙醫,了解最適合自己的美學解決方案!
爵世牙醫 尤治博醫師
